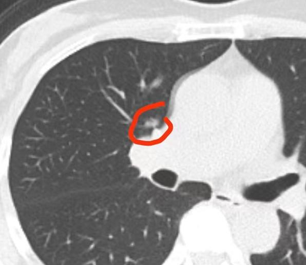
医生最开心、最有成就感的时候,就是能真正帮到患者、为患者解决病痛的那一刻。 刚刚我就完成了一台这样的手术,患者是一位年轻女性,检查时发现了一个磨玻璃结节。这个结节密度较高,CT值约为负三四百,但体积很小,只有8毫米。 虽然观察期间发现结节有缓慢变化,但它的位置非常不好——长在肺根上。 我跟患者打了个比方:这个结节就像长在了大树的树根上,这么小的一个结节,如果因为它就把整棵“大树”(整个肺叶)都切掉,实在是太划不来了。 所以,我特意设计了手术方案,我们称之为“刮皮式”切除。手术时,从肺根部(也就是“树根”部位)像刮皮一样操作,先把供应该区域的几根动脉、静脉(相当于大树的几根主根)断掉,断掉之后再把这部分组织掀起来。 这样一来,就不用切除整个肺叶,只需要将这几根“树根”(动脉静脉)连同部分“树干”(肺组织)从根部掀起来,完成一个肺段切除即可。结节本身很小,这样的切除范围也很小,最大程度保留了患者大部分的肺功能。 虽然这台手术难度很大,也存在一定风险,但做完之后我真的特别开心、特别有成就感。 这样的手术我已经做了几十例,患者的结节都位于血管根部,通过这种“刮起来、翻起来、掀起来”的方式,既能精准切除结节,又能给患者带来巨大的益处,最大程度减少手术对身体的损伤。[作揖][玫瑰]

