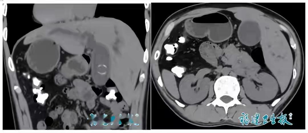
罕见!福建发现1例“镜面人”,医生:全球仅百万分之一 “医生,我的心脏好像跳得有点奇怪。”当23岁的小陈(化名)因腹痛就医时,医生看着影像报告,反复确认了三次——这不是医学错误,不是设备故障,而是一个活生生的“镜面人”,体内脏器位置与正常人完全相反,犹如在镜像世界中生活。 数据显示,这种全内脏反位发生概率仅为百万分之一。它不一定会带来健康问题,很多人甚至终生不知。小陈这次就医,才意外揭开了这个隐藏了23年的生命密码。 一、生命的“独家定制”:每个人都是奇迹 当我们为这百万分之一的概率惊叹时,其实每个人都携带着生命的“独家签名”。你的指纹、虹膜、DNA排列组合,都是宇宙中独一无二的存在。这种罕见的“镜面现象”,不过是生命多样性画卷中,一抹格外引人注目的色彩。 现代医学已经能够通过精细的影像技术,为这样的特殊结构制定个性化治疗方案。医生特别提醒,虽然“镜面人”可以健康生活,但就医时一定要主动告知医生自己的特殊情况,这是对自己生命的负责。 二、寻找内心的“镜面特质”:我们都与众不同 在这个追求“标准化”的时代,我们习惯隐藏自己的“不同”——也许是独特的思维方式,也许是格格不入的兴趣爱好,也许是内心深处那份不愿妥协的坚持。 小陈的身体是生理上的“镜面人”,而我们每个人,都可能拥有心理上的“镜面特质”:那些让你区别于他人的思维方式、情感反应、价值取向。社会这台大机器试图把我们打磨成标准零件,但正是那些“不标准”的部分,构成了真实的、有血有肉的“我”。 三、拥抱生命的“不对称美” 自然界的对称令人惊叹,但真正的美感常常存在于微妙的“不对称”中。生命的奇妙之处恰恰在于它的不可复制性和多样性。小陈的脏器位置虽然与常人相反,却依然和谐运作,维持着生命的平衡。 这像极了我们每个人的生活——也许你的人生轨迹不符合社会“标准路径”,你的选择让旁人看不懂,你的节奏与众不同。但正如“镜面人”的脏器功能完好无损,只要你找到内在的平衡点,这种“非常规”反而可能成为你独特的优势。 四、从“镜面人”到“镜像社会”:我们都需要一面镜子 “镜面人”现象最深刻的社会隐喻在于:我们都需要一面镜子,去看见那些“看不见的自己”。 在我们的社会角色和真实自我之间,常常存在着一种“镜像关系”。我们在职场中扮演着职业角色,在家庭中承担着亲属角色,但哪个才是最真实的你?当这些角色与内心渴望产生冲突时,你会如何选择? 小陈的案例像一面特殊的镜子,照见了医学的边界,也照见了我们对“正常”的狭隘定义。当一个社会能包容百万分之一的“镜面人”,它是否有足够胸怀容纳那些思想上、生活方式上“与众不同”的少数? 生命的常态本就是参差多态。我们赞颂罕见,却往往畏惧不同。 每一个“镜面人”的发现,都是在提醒我们:在追求共性的世界里,请为自己那份独特的“不对称”保留空间。因为正是这些微小差异,让人类整体如此强大而美丽。 你身边是否也有这样“与众不同”却活出精彩的人?你是否也曾隐藏自己的“镜面特质”以适应环境?在评论区,期待听到你独特的生命故事。
