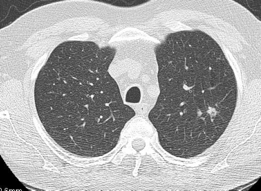
肺结节 “长个儿” 了?别慌!呼吸科医生教你科学应对 肺里的 “小疙瘩” 居然长个儿了?拿到体检报告的你是不是瞬间心跳加速?其实结节增大≠肺癌,就像脸上长痘痘,有的会自己消,有的要对症处理 —— 今天咱用大白话聊聊这事儿! 首先看 “增长成绩单”:3-6 个月内直径长了≥2mm,或体积涨了≥25%,才是真・增大。良性结节多是 “慢节奏”,比如炎症疤痕可能几年才长一点;恶性结节常是 “加速跑”,还可能悄悄变 “丑”。 再给结节 “颜值打分”:边缘光滑、圆滚滚的多是良性 “乖宝宝”;要是长了毛刺、分叶,或是拽着胸膜不放(胸膜牵拉),就得提高警惕。磨玻璃结节增大要留心,混杂密度结节若实性成分变多,建议尽快深入检查。 最后听 “专业会诊”:别自己瞎猜!医生会结合你的吸烟史、家族史,安排增强 CT “拍高清照”,必要时做穿刺活检 —— 这可是判断良恶性的 “金标准”。良性结节可能只需抗感染治疗或定期观察,就算是早期肺癌,微创手术治愈率超 90%,完全不用怕! 记住:结节增大是身体的 “提醒信号”,不是 “病危通知”。固定医院复查、保存好报告,跟着医生节奏来,就能守护肺部健康~ 毕竟,早发现早干预,肺结节也能 “变乖” 呀!
