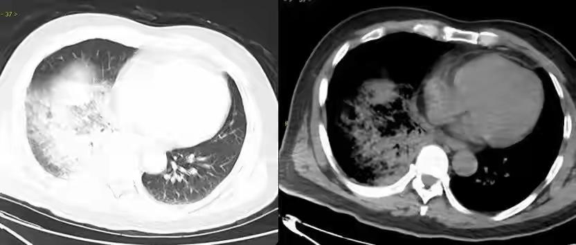
半月前,福建46岁司机林师傅(化名)养了一只鹦鹉,因开车不便照顾,便将鹦鹉揣在口袋里随身带,开车间隙逗玩。 没过几天,他突发高烧至38.7℃,伴寒战、干咳、乏力,自行吃感冒药后体温反复,还出现头晕头痛、反应迟钝,精神状态极差。 林师傅被家人送医就诊,检查显示,其肝肾功能受损,炎症指标大幅超标。医生追问病史,得知其“口袋养鹦鹉”习惯,经进一步检查确诊为鹦鹉热衣原体。 这位林师傅的情况提醒我们,宠物的养护不仅仅是日常陪伴,还涉及到潜在的健康风险。鹦鹉热(鸟源性疾病)是由鹦鹉热衣原体(Chlamydia psittaci)引起的人畜共患病,常通过接触感染鸟类的粪便、羽毛或分泌物传播给人。 【关于鹦鹉热衣原体】: 传播途径:主要通过吸入被污染的尘埃或飞沫,接触感染鸟类的排泄物、羽毛或分泌物。 潜伏期:通常为1到3周。 症状:发热、寒战、头痛、乏力、干咳、肌肉疼痛,有时伴有肝肾功能异常,严重者可能出现肺炎或其他并发症。 【预防措施】: 避免与鸟类的粪便、羽毛直接接触,尤其是在未采取防护措施时。 对宠物鸟定期进行健康检查。 在处理鸟类或其排泄物时佩戴口罩和手套。 保持良好的个人卫生,勤洗手。 【诊断与治疗】: 若怀疑鹦鹉热,应及时就医,进行血清学检测或PCR检测。 一般采用抗生素治疗(如多西环素)效果较好。 早期诊断和治疗能有效预防严重并发症。 林师傅的案例提醒宠物主人应注意养鸟的健康风险,避免将鸟类带在口袋或随身携带,尤其是在开车或从事其他可能引起意外的活动时。养宠物虽带来快乐,但也要确保安全与健康,定期检查、合理接触,减少疾病传播的风险。鹦鹉护理 鹦鹉生病


