藏书网
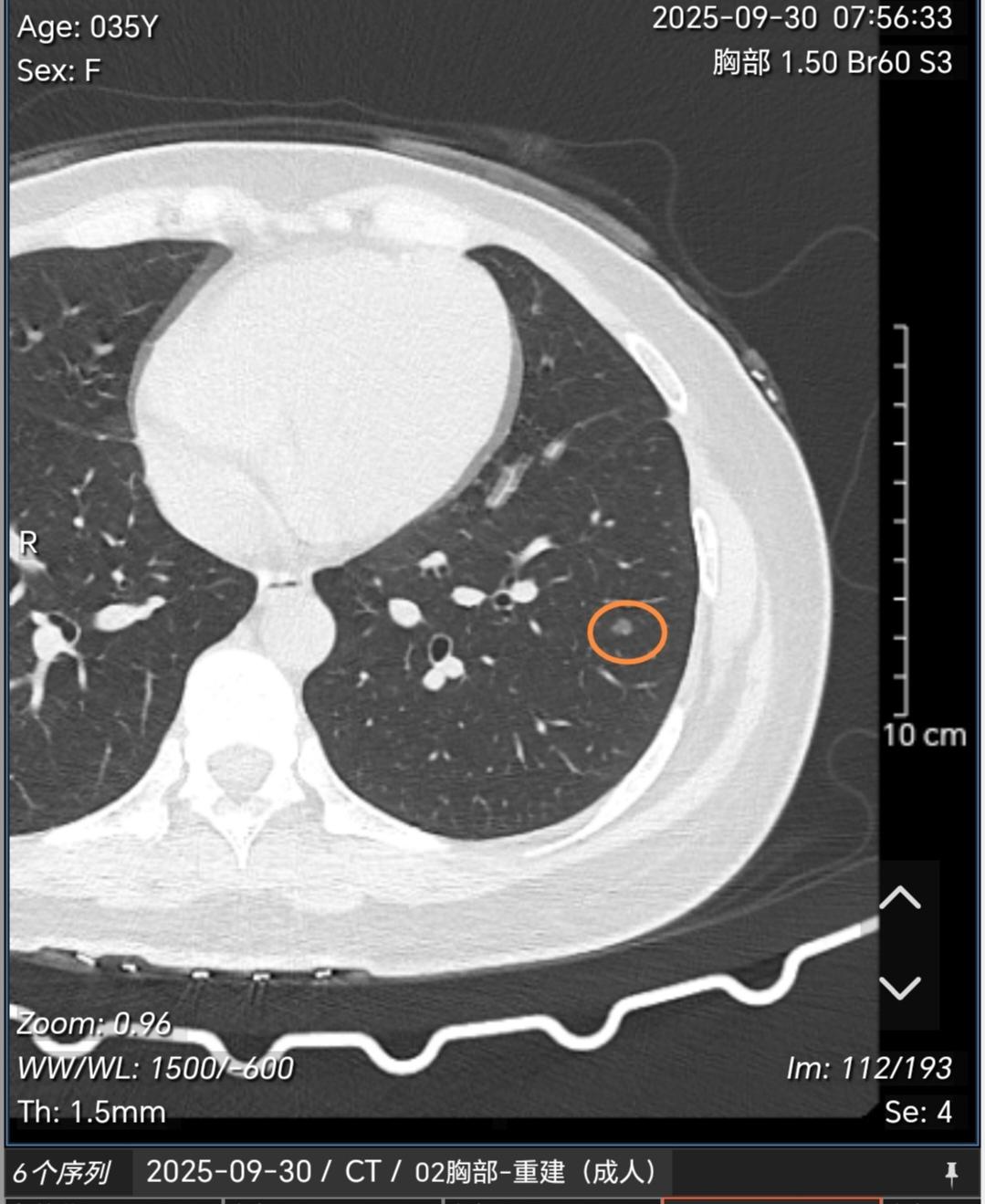
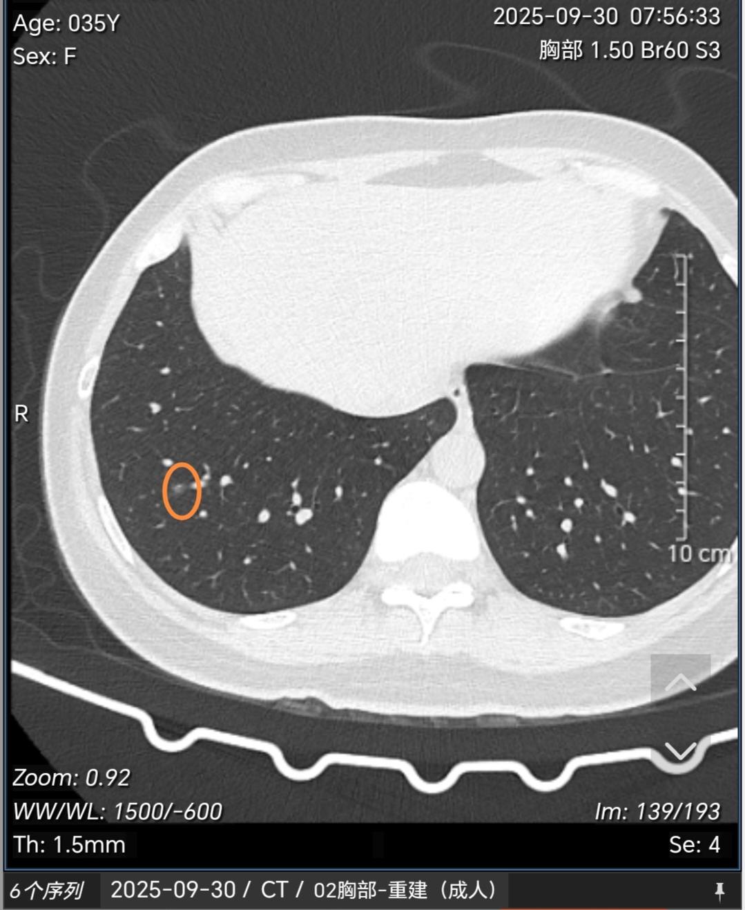
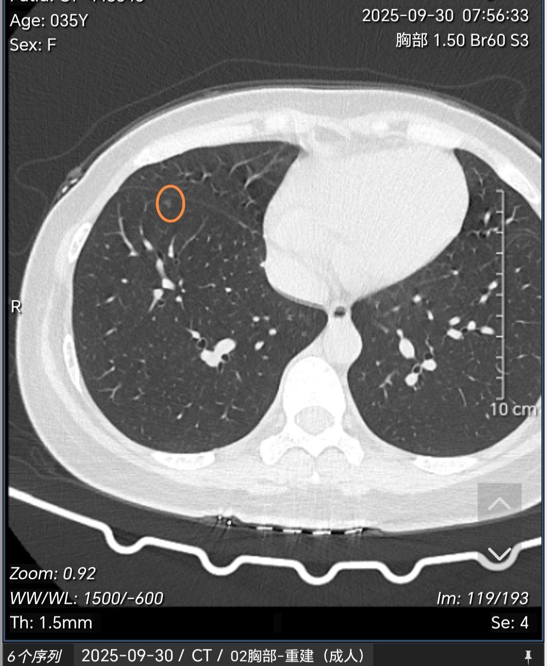
多发磨玻璃结节常见原因有哪些?如何处理?这种多发磨玻璃结节如果经半年左...
友人李华伟
2025-10-10 03:52:17
多发磨玻璃结节常见原因有哪些?如何处理?这种多发磨玻璃结节如果经半年左右观察没有明显缩小或消失一般多考虑是肿瘤性的,这类多发肿瘤性的磨玻璃结节最常见的原因就是遗传(基因易感体质),再者就是职业原因接触一些高致癌物质(苯、酚、氡、放射性物质、重金属等)。其他烟、空气污染等所致的肿瘤多见的是单发。那么对于这类结节怎么处理?对于这类多发的,一般手术很难切净,所以建议先观察,后续发现哪个结节有增大再以这个结节为主进行包括手术、消融或立体定向放疗在内的综合治疗策略。
0
阅读:61
友人李华伟
感谢大家的关注
热门分类
推荐
热榜
军事
NBA
体育
社会
明星八卦
娱乐
财经
科技
汽车
历史
国际
游戏
动漫
公益
搞笑
商业
互联网
数码
国际足球
房产
家居
时尚
科学探索
职场
育儿
股票
教育
影视
情感
热点
中国军情
武器
中国南海
中国足球
亚洲杯
科比
综合体育
CBA
投资
大咖秀
外汇
创业
风口
SUV
豪车
概念车
优惠
新能源
美国
欧洲
朝日韩
俄罗斯
孕期
街拍
婚姻
正能量