🔍研究
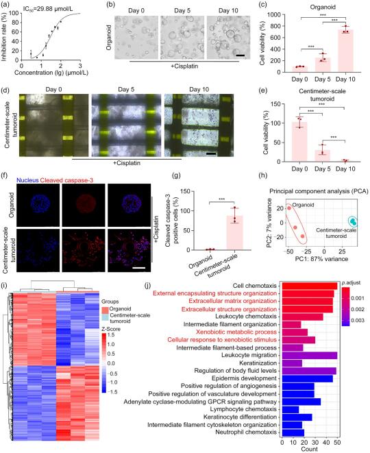
联合研究团队成功开发出可培养厘米级肿瘤或器官源类器官的新型培养平台。该平台通过面投影微立体光刻(PμSL)技术3D打印定制化类器官芯片,其内部集成微米级仿生微血管网络,并引入灌注装置以模拟血流动力学特征,在实现营养液持续供给与全浸没培养的同时,有效克服了类器官因营养获取不足导致的尺寸受限难题。
🌟亮点
为模拟生理相关性更强的毛细血管网络,类器官芯片采用中空管状结构设计,单管道内径80μm、壁厚20μm,相邻通道间距400μm。每根通道周向均匀分布四组宽度<10μm的狭缝,沿管道轴向以300μm为间隔周期性排布。装置入口与出口直径均为0.75mm,整体由3D打印技术搭配BIO树脂材料一体化成型制备而成。
📚来源
DOI: 10.1631/bdm.2400424
标题: Vascularized organoid-on-a-chip for centimeter-scale organoid cultivation
科研 微纳3D打印 3D打印 类器官 类器官芯片 科普 文献参考






