藏书网
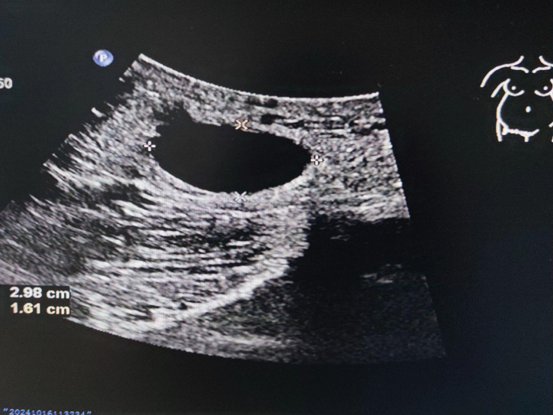
子宫圆韧带囊肿。女,41岁,腹股沟去包块来检查子宫圆韧带囊肿又叫Nu...
超声胡说
2024-10-16 18:29:45
子宫圆韧带囊肿。女,41岁,腹股沟去包块来检查 子宫圆韧带囊肿又叫Nuck囊肿,少见。囊肿大小及形态不随体位改变而变化,有别于腹股沟斜疝
0
阅读:2
超声胡说
感谢大家的关注
作者最新文章
1
交通静脉超声。穿静脉超声 穿静脉与交通静脉区别 交通静脉是指同一解剖层...
2
穿静脉超声。
3
腘窝囊肿超声。逗号或者豆芽征象 横切在腓肠肌内侧头与半膜肌之间,逗号样囊肿
4
腋下关节囊正常<4mm.持续学习
5
耻骨联合超声。耻骨联合间隙正常<10mm
6
DDH.学习超声筛查婴幼儿发育性髋关节发育不良超声学习
7
胰腺超声。胰腺是腹膜外位器官 腹壁脂肪较厚或肠道气体干扰时,胰腺较难显...
8
梨状肌超声。臀部及大腿后部疼痛,可放射至整个下肢,髋内旋内收,伸膝抬腿...
9
主动脉瓣狭窄超声。主动脉瓣狭窄程度定量指标:M型,二维面积,峰值流速……
10
子宫发育异常超声。
热门分类
推荐
热榜
军事
NBA
体育
社会
明星八卦
娱乐
财经
科技
汽车
历史
国际
游戏
动漫
公益
搞笑
商业
互联网
数码
国际足球
房产
家居
时尚
科学探索
职场
育儿
股票
教育
影视
情感
热点
中国军情
武器
中国南海
中国足球
亚洲杯
科比
综合体育
CBA
投资
大咖秀
外汇
创业
风口
SUV
豪车
概念车
优惠
新能源
美国
欧洲
朝日韩
俄罗斯
孕期
街拍
婚姻
正能量