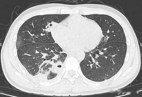
挤了颗痘痘竟高烧胸痛!面部三角区的“危险红线”别碰 20岁的大二学生小林从没想过,一颗痘痘会让他疼到直冒冷汗。前段时间备战期末考,连续熬夜刷题后,他的鼻下冒出一颗黄豆大小的痘痘,又红又肿,严重影响颜值。“当时急着消痘,没多想就徒手挤了。”小林回忆,没洗手就对着镜子用力挤压,看着脓水流出,还以为能快点恢复。 可让他始料未及的是,挤痘后的第二天,痘痘不仅没好转,反而持续化脓红肿。更可怕的是,他开始莫名发烧,体温一度飙,伴随剧烈咳嗽和咳痰,吃了退烧药也只能短暂降温。没过多久,右下胸部传来尖锐刺痛,像有根细针在反复扎刺,深呼吸、咳嗽时疼痛加剧,疼得他蜷缩在床上冒冷汗。 医生检查后告知,小林挤痘的位置正处于面部“危险三角区”——从鼻根到两侧口角的区域,这里的静脉血管没有瓣膜,且直接连通颅内大血管。徒手挤压时,细菌极易通过血管逆行进入颅内,引发感染扩散,小林的症状正是感染累及胸腔所致。经过抗感染治疗,小林的症状才逐渐缓解。 医生提醒,面部三角区的痘痘、粉刺千万别随意挤压。若皮肤出现炎症,可通过温和清洁、外用抗炎药膏缓解,严重时及时就医。年轻人爱美心切可以理解,但盲目挤痘可能引发颅内感染、败血症等严重后果,守住面部“危险禁区”,才是对健康负责。

